Vol. 27 - Num. 34
Casos clínicos. Miscelánea
Raquel Jiménez Carrascosoa, M.ª Teresa Garde Moralesb
aHospital Universitario de Toledo. Toledo. España.
bCS Santa María de Benquerencia. Toledo. España.
Cómo citar este artículo: Jiménez Carrascoso R, Garde Morales MT. Tumor esternal autolimitado de la infancia. Rev Pediatr Aten Primaria. Supl. 2025;(34):e164-e165.
Publicado en Internet: 26-05-2025 - Número de visitas: 2401
Los tumores esternales autolimitados de la infancia o SELSTOC (del inglés, self limiting sternal tumors of childhood) son una entidad tumoral benigna de rápido crecimiento, palpable, no dolorosa y de resolución espontánea, que afecta a pacientes en edad pediátrica. No existen antecedentes infecciosos, traumáticos o neoplásicos. Aunque su etiología es desconocida, se ha descrito que está relacionada con una reacción inflamatoria aséptica. El diagnóstico diferencial incluye un amplio espectro de lesiones como tumores, infecciones, malformaciones o variantes anatómicas. La prueba diagnóstica de elección es la ecografía y la actitud recomendada es el seguimiento con ecografía.
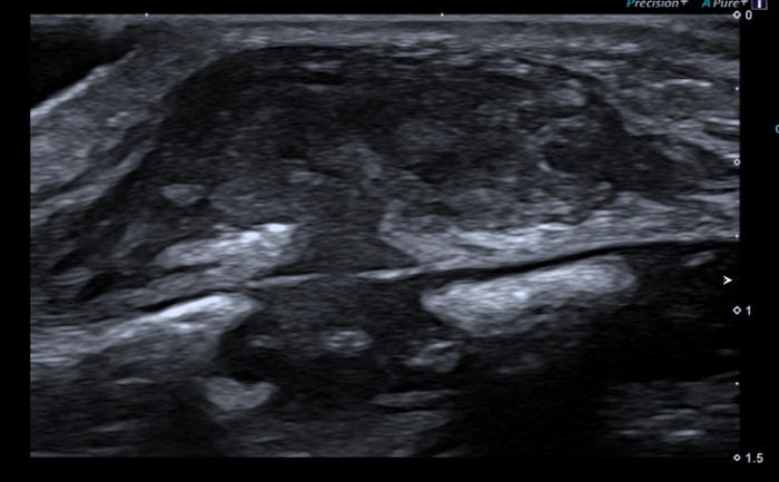
Lactante de 22 meses, con antecedente personal de asma en relación con procesos infecciosos, que acudió a su pediatra por aparición de tumoración, de manera súbita, en unión del tercio medio e inferior del esternón, sin otra sintomatología asociada. Negaba traumatismos previos o procesos infecciosos intercurrentes. En la exploración en consulta, presentaba una tumoración de consistencia dura de unos 0,7 mm de diámetro localizada en la unión del tercio medio e inferior del esternón, no dolorosa a la palpación, no adherida a planos profundos, sin signos flogóticos. El resto de la exploración física por aparatos no presentó otros hallazgos. En cuanto a las pruebas complementarias, mediante radiografía de tórax se descartó dependencia ósea; y mediante ecografía de partes blandas (Figura 1), se identificó una pseudocolección subcutánea de 10 x 18 x 23 mm de tamaño con morfología en reloj de arena que se extendía entre los centros de osificación del esternón paramedial izquierdo, en íntima relación con unión condrocostal vecina, con una ecoestructura heterogénea e hipoecogénica, sin aumento de la vascularización local ni cambios inflamatorios perilesionales. Ante los hallazgos clínicos y ecográficos compatibles con SELSTOC, se decidió una actitud expectante basada en controles ecográficos seriados mensuales. No se realizaron otras pruebas complementarias ni se administró ningún tratamiento. En las ecografías de control, se apreció una disminución del tamaño de la lesión hasta su completa desaparición, lo que apoya el diagnóstico de SELSTOC.
| Figura 1. Ecografía de partes blandas donde se objetiva imagen típica en “reloj de arena” de los SELSTOC |
|---|
![]() |

Aunque los tumores esternales autolimitados de la infancia son poco frecuentes, es importante conocer esta entidad y su evolución natural, así como plantearla dentro del diagnóstico diferencial de masa esternal en edad pediátrica, ya que su reconocimiento puede evitar daños iatrogénicos no justificados derivados de pruebas diagnósticas cruentas (biopsia percutánea) y de abordajes terapéuticos desproporcionados (exéresis quirúrgica).
Los autores declaran no presentar conflictos de intereses en relación con la preparación y publicación de este artículo.
Los autores han remitido un formulario de consentimiento de los padres/tutores para publicar información de su hijo/a.