Vol. 27 - Num. 34

Casos clínicos. Enfermedades infecciosas

Citomegalovirus parece, neumonía es

Ainhoa Larracoechea Zuluagaa, Ansara Castillo Marcalainb, Iratxe Sáez de Ugarte Sobrónc

aCS Kareaga. Consultorio de San Miguel de Basauri. Basauri. Vizcaya. España.
bCS Covadonga. Torrelavega. Cantabria. España.
cCS Igorre. Igorre. Vizcaya. España.

Cómo citar este artículo: Larracoechea Zuluaga A, Castillo Marcalain A, Sáez de Ugarte Sobrón I. Citomegalovirus parece, neumonía es . Rev Pediatr Aten Primaria. Supl. 2025;(34):e84-e85.

Publicado en Internet: 26-05-2025 - Número de visitas: 2220

INTRODUCCIÓN

Las adenopatías son un hallazgo frecuente en Pediatría. Se define como adenopatía cervical al aumento de su tamaño por encima de 1 cm de diámetro. La bilateral es la forma de presentación más frecuente de las adenopatías cervicales, suelen ser reactivas a infecciones por virus respiratorios. Algunos virus (virus de Ebstein Barr, citomegalovirus, virus herpes 6 y 7, parvovirus B19) pueden producir síndromes mononucleósicos, con faringoamigdalitis, fiebre y poliadenopatías. Más raramente se pueden deber a Streptococcus pyogenes o Mycoplasma pneumoniae.

RESUMEN DEL CASO

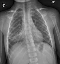
Paciente de 3 años y 9 meses con adenopatías cervicales bilaterales múltiples de predominio izquierdo de 48 horas de evolución, la mayor de ellas de 3,5-4 cm, dolorosas, duras y adheridas sin aumento de calor local ni hiperemia cutánea. Presenta palidez cutánea. El resto de la exploración física, incluida la auscultación pulmonar, es normal. Temperatura axilar máxima de hasta 38 °C de 7 días de evolución con astenia. Los primeros dos días tenía tos irritativa que cede. Analítica sanguínea: 13 450 leucocitos, 9360 neutrófilos. PCR 75,4 mg/l, VSG 44 mm, serologías de toxoplasma, virus de Ebstein Barr y citomegalovirus negativas. Ante los hallazgos, se completa estudio con radiografía de tórax, donde se objetiva neumonía (Figura 1) y serología Mycoplasma pneumoniae. Inmunoglobulina M positiva. Se trata con azitromicina oral, presentando desaparición de adenopatías y fiebre a las 48 horas del inicio del tratamiento.

Figura 1. Radiografía de tórax
Figura 1. Radiografía de tórax
 

CONCLUSIONES

Aunque en la población pediátrica el Mycoplasma pneumoniae es una causa frecuente de procesos febriles y respiratorios (de vías altas como neumonías), y la mayoría de las infecciones son autolimitadas y leves, se han descrito manifestaciones extrapulmonares en un 25% producidas mayoritariamente por efectos indirectos inmunomediados o secundarios a vasculitis o trombosis.

Es importante tener en cuenta el contexto epidemiológico al orientar un caso diagnóstico. El patrón epidemiológico de Mycoplasma pneumoniae se ha visto modificado por las medidas aplicadas para el control de la pandemia. El Centro Europeo para la Prevención y el Control de Enfermedades comunicó un aumento de casos a finales de 2023 y en España se percibió un incremento de los casos entre enero y abril del 2024, así como de los ingresos hospitalarios y de formas extrapulmonares de infección, algunas de ellas graves.

CONFLICTO DE INTERESES

Los autores declaran no presentar conflictos de intereses en relación con la preparación y publicación de este artículo.

RESPONSABILIDAD DE LOS AUTORES

Los autores han remitido un formulario de consentimiento de los padres/tutores para publicar información de su hijo/a.