Vol. 27 - Num. 106
Notas clínicas
Esther Vaquero Sosaa, María García Baró Huartea, Beatriz Castaño Torrijosa, Manuela Plumed Velillab
aPediatra. CS Las Ciudades. Getafe. Madrid. España.
bMIR-Medicina Familiar y Comunitaria. CS Las Ciudades. Getafe. Madrid. España.
Correspondencia: E Vaquero. Correo electrónico: estvaqsos@yahoo.es
Cómo citar este artículo: Vaquero Sosa E, García Baró Huarte M, Castaño Torrijos B, Plumed Velilla M. Hiperprolactinemia de origen tumoral . Rev Pediatr Aten Primaria. 2025;27:173-7. https://doi.org/10.60147/ffb72475
Publicado en Internet: 18-06-2025 - Número de visitas: 7644
Resumen
La hiperprolactinemia, alteración endocrina más habitual del eje hipotálamo-hipofisario, es poco frecuente en la edad pediátrica y generalmente se debe a causas benignas. La patología tumoral, aunque es poco prevalente, debe ser tenida en cuenta por su mayor trascendencia. Dentro de esta, los macroadenomas hipofisarios son la entidad más detectada y responden bien a tratamiento con agonistas colinérgicos.
Palabras clave
● Agonistas colinérgicos ● Eje hipotálamo-hipofisario ● Hiperprolactinemia ● MacroadenomasLa prevalencia de hiperprolactinemia en la edad pediátrica no está claramente determinada, pero se estiman cifras muy bajas en comparación con la población adulta, donde es un problema común1. La galactorrea en chicas adolescentes es una manifestación clínica frecuente y suele generar bastante alarma, aunque su origen suele ser benigno2. Entre las múltiples causas que pueden provocarla se debe tener presente la patología tumoral para iniciar un diagnóstico lo más precoz posible e instaurar un tratamiento adecuado3, como en el caso de la paciente presentado a continuación.
Adolescente de 13 años y 8 meses que acude a consulta de Atención Primaria por galactorrea bilateral de unas 2 semanas de evolución. Asocia cefalea matutina de manera ocasional y plenitud pospandrial. No presenta alteraciones en la visión, ni síndrome constitucional, nerviosismo u otra clínica relevante relacionada. Menarquia a los 10 años con menstruaciones regulares, sin riesgo de embarazo. No ingesta de fármacos u otros tóxicos.
En la exploración física se evidencia salida de material blanquecino a través del pezón con la compresión, de forma bilateral, sin signos inflamatorios. Desarrollo puberal Tanner V. Exploración cardiopulmonar, abdominal y neurológica sin alteraciones. Índice de masa corporal de 25,15 y tensión arterial de 115/69 mmHg.
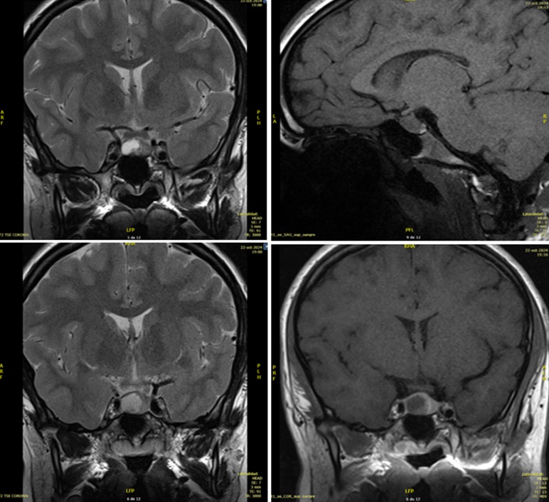
Ante dichos hallazgos se solicita una analítica de sangre con perfil hormonal, presentando hiperprolactinemia de 59,1 ng/ml sin otras alteraciones. Se deriva a Endocrinología, donde se repite la analítica de sangre en reposo, detectando valores más elevados en dos determinaciones (75,3 ng/ml y 86,8 ng/ml), por lo que se realiza resonancia magnética (RMN) cerebral, en la que se visualiza un macroadenoma hipofisario de 12 x 12 x 8 mm con área de degeneración quística que expande silla turca y contacta con el seno cavernoso derecho sin invadirlo (Figura 1). Se pauta tratamiento con cabergolina oral, a dosis inicial de 0,25 mg semanal y mantenimiento posterior con 0,5 mg semanales, con buena tolerancia. En el momento actual la paciente se encuentra clínicamente asintomática, con cifras de prolactina 10,9 ng/ml, pendiente de nueva RMN de control y valoración por Oftalmología.
| Figura 1. Lesión redondeada en margen derecho de la adenohipófisis (isointensa T1, hiperintensa T2), hipocaptante con realce tardío |
|---|
![]() |

La prolactina es una hormona polipeptídica producida y secretada por las células lactotrópicas de la hipófisis anterior. Es regulada por un amplio grupo de moléculas (neurotransmisores, neuropéptidos, etc.), aunque fundamentalmente el control se ejerce a nivel hipotalámico por factores inhibitorios, el principal de ellos la dopamina, que actúa sobre los receptores D2 de la hipófisis4. La hiperproducción de prolactina en el eje hipotálamo-hipofisario puede darse en múltiples situaciones, algunas de ellas fisiológicas o funcionales (embarazo, lactancia, estrés, ejercicio intenso, estimulación mamaria) y otras veces en el contexto de patologías, como hipotiroidismo, infecciones o tumores1-3. Otra de las causas a descartar en el diagnóstico diferencial de hiperprolactinemia son los fármacos: bloqueantes de receptores de dopamina, antidepresivos, antipsicóticos, entre otros3,5,6 (Tabla 1).
| Tabla 1. Causas de hiperprolactinemia | ||
|---|---|---|
| Fisiológicas | Embarazo, lactancia, estimulación del pezón, estrés, sueño, coito, ejercicio | |
| Patológicas | Daño del tallo hipofisario | Adenoma, craneofaringioma, quiste de la bolsa de Rathke, extensión de una masa hipofisaria supraselar, meningioma, disgerminoma, metástasis, enfermedad granulomatosa, infiltración, radiación, hipotensión intracraneal, trauma (sección del tallo hipofisario, cirugía, traumatismo craneal severo) |
| Patología hipofisaria | Prolactinoma, acromegalia, compresión por macroadenoma, idiopática, adenoma plurihormonal, hipofisitis linfocitaria, tumor paraselar | |
| Patología no hipofisaria | Secreción ectópica de prolactina, hipotiroidismo primario, enfermedad renal crónica, cirrosis, pseudociesis, convulsiones, malnutrición, anorexia nerviosa, patología torácica (traumatismo de la pared torácica, cirugía, herpes zoster, piercings) | |
| Genéticas | Inactivación del gen del receptor de prolactina (PRLR) | |
| Farmacológicas | Antagonistas de los receptores de dopamina | Fenotiazinas (clorpromazina, perfenazina), butirofenonas (haloperidol), tioxantenos, metoclopramida, domperidona, alizaprida |
| Inhibidores de la síntesis de dopamina | Alfa-metildopa | |
| Depletores de catecolaminas | Reserpina | |
| Agonistas colinérgicos | Fisostigmina | |
| Antihipertensivos | Labetalol, reserpina, verapamilo | |
| Antihistamínicos H2 | Cimetidina, ranitidina | |
| Estrógenos | Anticonceptivos orales (controvertido) | |
| Antiepilépticos | Fenitoína | |
| Neurolépticos | Clorpromazina, risperidona, promazina, prometazina, trifluoperazina, flufenazina, butaperazina, perfenazina, tietilperazina, tioridazina, haloperidol, pimozida, tiotixeno, molindona | |
| Opioides | Heroína, metadona, apomorfina, morfina | |
| Fuente: Adaptada de Petersenn S et al.3 | ||

Dentro de las causas patológicas de hiperprolactinemia, la más relevante a tener en cuenta es el adenoma, tumor neuroendocrino benigno de la adenohipófisis. La hiperprolactinemia también puede producirse en otros tumores no secretores, como craneofaringiomas, que por compresión interfieren en la transmisión de dopamina, responsable de frenar la secreción de prolactina7.
Por lo tanto, se deberían tener presentes todas estas causas para establecer la etiología en los casos de galactorrea, motivo poco frecuente de consulta en Pediatría, pero que puede resultar alarmante. La hiperprolactinemia infanto-juvenil puede tener otras manifestaciones clínicas, como amenorrea o alteraciones menstruales y ginecomastia, habitualmente en chicas tras el inicio de la pubertad2. La cefalea y las alteraciones visuales pueden estar presentes en pacientes con macroadenomas, siendo estos síntomas más frecuentes en el sexo masculino8. A diferencia de los adultos, los adenomas hipofisarios en edad pediátrica son proporcionalmente más grandes y más agresivos, con posible efecto de masa que puede provocar hipopituitarismo9.
Para confirmar el diagnóstico, en caso de síntomas compatibles con hiperprolactinemia, se determinarán los niveles sanguíneos de prolactina a primera hora de la mañana, al menos dos horas tras despertarse, teniendo en cuenta que una sola determinación superior a 20 ng/ml no es fiable para el diagnóstico de hiperprolactinemia en niños debido a la secreción pulsátil10. En caso de sospechar causa tumoral, la prueba de imagen recomendada para el diagnóstico de estas lesiones hipofisarias es la RMN, en la que suele observarse en T2 una hipófisis hiperintensa aumentada de tamaño que puede comprimir estructuras adyacentes3.
El pronóstico de la hiperprolactinemia es favorable, ya que al eliminar la causa desencadenante bajan los niveles de prolactina y se revierten los síntomas. En caso de adenomas hipofisarios, se administran agonistas de la dopamina (bromocriptina, cabergolina), que, además de disminuir la secreción de prolactina, reducen el tamaño tumoral11. La cabergolina es el fármaco de elección en niños, por su mayor eficacia y menos efectos secundarios, con muy buenos resultados12. La cirugía solo se realiza si no hay respuesta al tratamiento farmacológico; suelen ser casos de macroprolactinomas que causan síntomas por compresión11-13.
Aunque sea poco frecuente en la edad pediátrica, en una consulta por galactorrea, con o sin alteraciones menstruales, se debe realizar una adecuada historia clínica que considere todas las causas de hiperprolactinemia. Una vez descartadas las fisiológicas o funcionales, como un posible embarazo y la toma de fármacos, debe ser tenida en cuenta la patología tumoral por su mayor relevancia. En estos casos suele tratarse de adenomas hipofisarios que tienen buen pronóstico, ya que responden bien al tratamiento con agonistas de la dopamina (cabergolina) sin efectos secundarios significativos.
Los autores declaran no presentar conflictos de intereses en relación con la preparación y publicación de este artículo.
Todos los autores han contribuido de forma equivalente en la elaboración del manuscrito publicado.
Los autores han remitido un formulario de consentimiento de los padres/tutores para publicar información de su hijo/a.
RMN: resonancia magnética nuclear.