Vol. 27 - Num. 107
Casos clínicos en Digestivo
M.ª Cristina López Garcíaa, Lorena Magallares Garcíaa, Camila Allende Chavesa, Eva Martínez-Ojinaga Nodala, Manuel Molina Ariasa, Iván Carabaño Aguadoa
aServicio de Gastroenterología y Nutrición Infantil. Hospital Universitario La Paz. Madrid. España.
Cómo citar este artículo: López García MC, Magallares García L, Allende Chaves C, Martínez-Ojinaga Nodal E, Molina Arias M, Carabaño Aguado I. Escoliosis corregida, duodeno comprometido. Un caso de síndrome de Wilkie posquirúrgico . Rev Pediatr Aten Primaria. 2025;27:291-3. https://doi.org/10.60147/395af644
Publicado en Internet: 17-09-2025 - Número de visitas: 1714
Resumen
El síndrome de Wilkie ─o síndrome de compresión de la arteria mesentérica superior─ es una entidad rara que puede surgir como complicación posquirúrgica en pacientes sometidos a corrección de escoliosis. Presentamos el caso de una adolescente previamente sana que desarrolló síntomas de obstrucción intestinal (dolor abdominal, vómitos biliosos), tras una intervención ortopédica por una escoliosis idiopática. La evolución clínica, junto con los hallazgos radiológicos, permitió el diagnóstico de síndrome de Wilkie. El abordaje terapéutico incluyó medidas conservadoras y soporte nutricional, con buena respuesta clínica. Este caso subraya la importancia de considerar esta entidad como “invitado inesperado” en el posoperatorio de correcciones escolióticas, especialmente ante síntomas digestivos persistentes. La identificación precoz permite evitar complicaciones mayores y optimizar el manejo multidisciplinar.
Palabras clave
● Adolescente ● Complicación posquirúrgica ● Compresión duodenal ● Escoliosis ● Síndrome de WilkieEl síndrome de Wilkie ─o síndrome de la arteria mesentérica superior (SAMS)─ es una entidad infrecuente caracterizada por la compresión extrínseca de la tercera porción duodenal entre la aorta abdominal y la arteria mesentérica superior (AMS). Esta compresión genera un cuadro de obstrucción intestinal alta de intensidad variable1-5. Entendemos que su divulgación puede ser interesante para los pediatras con ejercicio profesional en Atención Primaria. A continuación, se presenta el caso de un adolescente intervenido de escoliosis que desarrolla un cuadro de obstrucción intestinal en este contexto.
Varón de 14 años, sin antecedentes médicos de interés, salvo una escoliosis idiopática grave que precisó corrección quirúrgica. Al séptimo día posquirúrgico, el paciente inició clínica de dolor abdominal epigástrico y vómitos biliosos con distensión abdominal progresiva, sin expulsión de heces ni gases en las 24 horas previas. La exploración física mostró abdomen distendido, timpanismo generalizado y dolor a la palpación en epigastrio sin defensa ni signos de peritonismo.
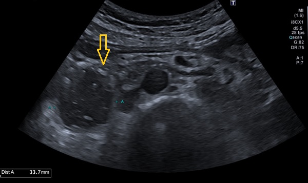
En el estudio analítico se objetivó alcalosis metabólica (pH 7,53, HCO3 33,8, EB +11,2), leucocitosis con neutrofilia y elevación leve de transaminasas. Se realizó estudio de imagen mediante ecografía abdominal, con hallazgo de dilatación de la segunda porción duodenal y colapso de la tercera porción por una pinza aortomesentérica (Figura 1).
| Figura 1. En esta ecografía abdominal se visualiza la notable dilatación de la segunda porción duodenal, durante la fase clínica del paciente |
|---|
![]() |

Se decidió manejo conservador con descompresión gástrica mediante sonda nasogástrica, dieta absoluta con sueroterapia intravenosa y reposición de las pérdidas con suero salino fisiológico. Tras 24 horas de ingreso se pudo pinzar la sonda sin presentar nuevos vómitos, por lo que se comenzó con tolerancia oral progresiva, que realizó de manera adecuada. Recibió el alta domiciliaria a los 5 días de ingreso. Precisó reingresar a los 3 días del alta por reaparición de la clínica, sin alteraciones metabólicas. Se completó estudio con angio-TC, pero los resultados no fueron totalmente valorables por el artefacto del material quirúrgico empleado. La evolución tras el reingreso fue satisfactoria. En los controles posteriores, el paciente se encontraba asintomático. Se le realizó un tránsito digestivo superior, donde se constató la normalización radiológica completa (Figura 2).
| Figura 2. Tránsito digestivo superior. Opacificación rápida del duodeno hasta su tercera porción, sin dilatación |
|---|
![]() |

El síndrome de Wilkie ─o síndrome de la arteria mesentérica superior (SAMS)─ es una entidad infrecuente caracterizada por la compresión extrínseca de la tercera porción duodenal entre la aorta abdominal y la arteria mesentérica superior (AMS). Esta compresión genera un cuadro de obstrucción intestinal alta de intensidad variable. Se estima que su incidencia global está entre 0,013 y 0,3%. Dichas cifras probablemente estén infravaloradas, debido a la inespecificidad de sus síntomas1.
En la edad pediátrica y adolescente, el síndrome se asocia con factores predisponentes como pérdida ponderal brusca, estados de hipercatabolismo, enfermedades neurológicas, trastornos de la conducta alimentaria y, de forma particularmente relevante, cirugía correctora de escoliosis2.
Cuando el SMAS ocurre tras una cirugía correctora de la escoliosis, el mecanismo fisiopatológico se relaciona con la elongación de la columna, lo que produce tracción y modificación del ángulo aortomesentérico, estrechando el espacio por donde discurre el duodeno.
En condiciones normales, el ángulo aortomesentérico es de 25-60°, con una distancia entre 10-28 mm; en el síndrome de Wilkie, este ángulo se reduce a menos de 22° y la distancia, a menos de 8 mm, provocando la compresión duodenal. El gold standard diagnóstico es el angio-TC3,4. La ecografía abdominal, hecha por manos expertas, puede permitir una identificación temprana del problema3.
En cuanto al diagnóstico diferencial, debe plantearse con las siguientes entidades:
El tratamiento inicial es conservador, basado en soporte nutricional, medidas posturales y vigilancia clínica. La cirugía, generalmente una duodenoyeyunostomía laparoscópica, se reserva para casos refractarios.
El SAMS secundario a cirugía de la escoliosis suele tener un curso benigno y autolimitado1-5. Así ocurrió en el caso descrito, donde el paciente evolucionó favorablemente tras 10 días de tratamiento conservador, con recuperación de la tolerancia oral progresiva y normalización de los parámetros medidos con la prueba de imagen.
Los autores declaran no presentar conflictos de intereses en relación con la preparación y publicación de este artículo.
Todos los autores han contribuido de forma equivalente en la elaboración del manuscrito publicado.
Los autores confirman que cuentan con el consentimiento de los padres/tutores para publicar información sobre su hijo/a.
AMS: arteria mesentérica superior · SAMS: síndrome de la arteria mesentérica superior.