Vol. 27 - Num. 107
Notas clínicas
Sara Gracia Baldovína, Violeta Fuertes Oreraa, Claudia Montón Jiméneza, Margarita Martínez Martínezb, Mercedes Cemeli Canob
aMIR-Pediatría. Hospital Universitario Materno Infantil Miguel Servet. Zaragoza. España.
bPediatra. CS Fuentes Norte. Zaragoza. España.
Correspondencia: S Gracia. Correo electrónico: sarigraciab@gmail.com
Cómo citar este artículo: Gracia Baldovín S, Fuertes Orera V, Montón Jiménez C, Martínez Martínez M, Cemeli Cano M. ¿Y si ADHemás tiene Mycoplasma pneumoniae? . Rev Pediatr Aten Primaria. 2025;27:277-81. https://doi.org/10.60147/1357bcf2
Publicado en Internet: 26-08-2025 - Número de visitas: 4340
Resumen
El síndrome de secreción inadecuada de hormona antidiurética (SIADH) se caracteriza por un aumento anormal en la liberación de hormona antidiurética sin los estímulos fisiológicos adecuados, lo que provoca hiponatremia dilucional, disminución de la osmolalidad sérica y aumento de la osmolalidad urinaria y de la eliminación del sodio.
Describimos el caso de una niña de 12 años que durante su ingreso en Unidad de Cuidados Intensivos (UCI) desarrolla SIADH incompleto en contexto de neumonía adquirida en la comunidad por Mycoplasma pneumoniae.
El SIADH es una causa frecuente de hiponatremia transitoria en niños con infecciones respiratorias, siendo poco probable en infecciones por M. pneumoniae. Se ha asociado a enfermedad más grave, estancias prolongadas y mayor probabilidad de ingreso en UCI, por lo que es importante considerar las alteraciones hidroeléctricas en el manejo de estos pacientes.
Palabras clave
● Mycoplasma pneumoniae ● Hiponatremia ● Neumonía ● Síndrome de secreción inadecuada de ADHEl síndrome de secreción inadecuada de hormona antidiurética (SIADH) consiste en el aumento de liberación de la hormona antidiurética (ADH) no debido a los estímulos normales (hiperosmolalidad o hipovolemia). Existe un aumento de ADH por estímulos no fisiológicos que da como resultado hiponatremia dilucional, disminución de la osmolalidad sérica y aumento de la osmolalidad urinaria. El aumento de la volemia activará mecanismos natriuréticos, como el sistema renina-angiotensina-aldosterona y el péptido natriurético, produciendo un aumento de la eliminación urinaria de sodio1.
La clínica del SIADH en niños depende tanto de la gravedad de hiponatremia como de la velocidad de instauración2: asintomáticos o síntomas inespecíficos (cefalea, irritabilidad, nauseas…) en los leves (sodio 130-135 mEq/L), hasta convulsiones, depresión respiratoria y coma en los más graves (sodio <120 mEq/L o descenso brusco).
El diagnóstico de SIADH se realiza habitualmente con los siguientes criterios clínicos y analíticos3:
Además, en estos pacientes no hay alteración del equilibrio ácido-base, la concentración de potasio es normal y la de ácido úrico está frecuentemente disminuida por la eliminación urinaria de uratos. El SIADH incompleto describe situaciones donde la fisiopatología es la misma, pero los datos de laboratorio son atípicos, de forma que el paciente no cumple todos los criterios diagnósticos pero la sospecha es alta3.
El tratamiento se basa en el de la enfermedad subyacente, la restricción hídrica y la corrección de la hiponatremia4.
Las causas del SIADH son múltiples. Las más frecuentes en niños son los fármacos, especialmente los antiepilépticos y quimioterápicos, las alteraciones del sistema nervioso central, las cirugías mayores y las enfermedades pulmonares. Causas menos frecuentes corresponden a la secreción ectópica de ADH (neoplasias) y las causas hereditarias1,3.
Dentro de las causas pulmonares se puede encontrar la infección por M. pneumoniae5, una bacteria que carece de pared celular y se transmite a través de gotas respiratorias.
La forma de presentación más frecuente son las infecciones del tracto respiratorio. El curso es benigno en la mayor parte de los casos, por lo que la antibioterapia debe reservarse para las formas graves. Los síntomas más frecuentes son fiebre (90%), tos seca persistente (85%), astenia (75%), disnea, cefalea y odinofagia6.
Las manifestaciones extrapulmonares ocurren en aproximadamente un 25% de los casos, por efectos indirectos inmunomediados o efectos secundarios a vasculitis o trombosis. Las más frecuentes son las manifestaciones cutáneas, seguidas de las neurológicas, hematológicas y gastrointestinales. También se han descrito manifestaciones cardiacas, musculoesqueléticas y renales. Los hallazgos radiológicos son inespecíficos: consolidaciones (59%), infiltrados o derrame pleural (25%). El hemograma muestra leve elevación de leucocitos y neutrófilos, y elevación moderada de proteína C reactiva (PCR) y/o procalcitonina (PCT)7.
Las pruebas disponibles para el diagnóstico de la infección por M. pneumoniae son la determinación de serologías (seroconversión por aparición de IgM específica o aumento >4 veces del título de IgG en dos muestras separadas al menos 2 semanas) y la detección de material genético mediante reacción en cadena de la polimerasa (PCR) en muestra respiratoria. Tanto la serología como la PCR son incapaces de diferenciar la colonización (40-50% son portadores asintomáticos) de la infección activa, por lo que la combinación de las dos técnicas aumenta la precisión del diagnóstico en pacientes con alta sospecha clínica6.
Se presenta el caso de una niña de 12 años de origen marroquí, con antecedente de obesidad y talla baja, en tratamiento con levotiroxina 75 mg por hipotiroidismo (adecuado control, siendo la última revisión hace un mes). Sin ingresos ni cirugías previas. Correctamente vacunada. Sin antecedentes de asma ni de otras enfermedades pulmonares.
Acude a su centro de salud y en la exploración se detecta taquipnea, leve tiraje subcostal e hipoventilación generalizada en la auscultación. Palidez mucocutánea y saturación de oxígeno en torno a 90%. El resto de las constantes son normales.
Refiere cuadro catarral días anteriores acompañado en los últimos días de leve disnea al andar. Se administra nebulizaciones de salbutamol y bromuro de ipratropio junto a prednisona vía oral, pese a los cuales precisa oxigenoterapia en cánulas nasales, por lo que se decide el traslado a urgencias.
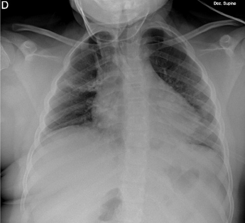
En la analítica sanguínea destaca: leucocitos: 9100/µL (neutrófilos: 7400), hemoglobina: 8,8 g/dL, PCR 6,66 mg/dL. La radiografía de tórax muestra atelectasias en lóbulo superior derecho y consolidación en lóbulo inferior izquierdo (Figura 1).
| Figura 1. Radiografía de tórax donde se observan atelectasias subsegmentarias en lóbulo superior derecho y consolidación parenquimatosa en lóbulo inferior izquierdo |
|---|
![]() |

Posteriormente, a su llegada presenta empeoramiento respiratorio progresivo con taquipnea y aumento de hipoventilación bilateral a la auscultación. La saturación de oxígeno no supera el 92% pese a la administración de oxigenoterapia con mascarilla tipo Venturi a 15 litros/minuto, por lo que ingresa en la Unidad de Cuidados Intensivos (UCI) con ventilación mecánica no invasiva.
En las primeras 48 horas presenta oliguria (0,5 ml/kg/h) que, junto a la anemia (hemoglobina 8,8 g/dL), hace sospechar cuadro de SIADH.
Se completa estudio con el resto de las pruebas complementarias:
Se inició tratamiento con azitromicina durante cinco días y se restringieron los líquidos intravenosos, sin precisar furosemida. La función respiratoria mejoró progresivamente: pudo retirarse la ventilación mecánica invasiva a las 48 horas y se concedió el alta de la UCI al cuarto día de ingreso. Posteriormente, la paciente pasó a planta con cánulas nasales, que se retiraron sin incidencias. Antes del alta hospitalaria, conseguida tras 12 días de estancia, se observó una diuresis estable (1,6 ml/kg/h) y un aumento de la hemoglobina hasta 9,8 g/dL.
La aparición de hiponatremia es frecuente en las neumonías de cualquier origen en edad pediátrica, en la gran mayoría de ocasiones debidas a SIADH transitorio. En los niños que requieren ingreso se produce hasta en el 45,5%8 de las ocasiones y suele ser de carácter leve. El SIADH se asocia con una enfermedad más grave y un pronóstico más desfavorable, presentando estancias hospitalarias más largas y mayor probabilidad de ingreso en UCI5,9.
En el caso de nuestra paciente nos encontramos ante un SIADH incompleto3. Repasando los criterios diagnósticos, cumple todos excepto hiponatremia (sodio 138 mEq/L) e hipoosmolalidad plasmática (286 mOsm/kg) (Tabla 1). La paciente presenta un aumento de natriuresis y osmolalidad urinaria, oliguria, cociente osmolalidad urinaria/plasmática elevado y función renal adecuada. Además de aumento de volemia (anemia dilucional que mejora tras restricción hídrica) sin alteraciones del equilibro ácido base ni del potasio. La paciente cuenta con determinaciones seriadas de hormonas tiroideas dentro de la normalidad (última revisión un mes antes) y no toma fármacos que estimulen la producción de ADH.
| Tabla 1. Comparación entre criterios diagnósticos de SIADH y los valores analíticos de nuestra paciente2 | ||
|---|---|---|
| SIADH | Paciente | |
| Volumen plasmático | Aumentado | Aumentado |
| Hipovolemia/deshidratación | No | No |
| Osmolalidad sérica (mOsm/kg) | <270 | 286 |
| Osmolalidad urinaria (mOsm/kg) | >500 | 840 |
| Osmolalidad urinaria/plasmática | >1 | 2,93 |
| Densidad urinaria | >1020 | Sin datos |
| Diuresis (ml/kg/h) | <1 | 0,5 |
| Sodio plasmático (mEq/L) | <135 | 138 |
| Sodio urinario (mEq/L) | >60 | 251 |
| ADH plasmática | Aumentado | Sin datos |
| Excreción fraccional de sodio | >1% | 1,35% |
| SIADH: síndrome de secreción inadecuada de hormona antidiurética. | ||

Por otro lado, en el estudio microbiológico la paciente presenta una PCR positiva específica a M. pneumoniae, por lo que el SIADH incompleto se podría atribuir a un efecto secundario de esta bacteria. Sin embargo, para realizar un diagnóstico más certero, se recomienda realizar tanto PCR como estudio serológico6 para la diferenciación entre colonización e infección activa. Aun así, en la práctica, en numerosas ocasiones se realiza solo uno para optimizar recursos sanitarios.
El SIADH es relativamente frecuente en niños con neumonía, normalmente de forma transitoria y de carácter leve9. En los pacientes con infecciones del tracto respiratorio que desarrollan SIADH el patógeno más frecuentemente implicado es el virus respiratorio sincitial (20,3%), mientras que el M. pneumoniae produce en torno al 3,8% de casos (Tabla 2). La probabilidad aumenta cuando hay coinfecciones5.
| Tabla 2. Diagnóstico etiológico del SIADH secundario a infecciones respiratorias en Pediatría6 | |
|---|---|
| Microorganismo detectado por PCR | Porcentaje casos SIADH |
| Ningún microorganismo | 21,5% |
| Virus respiratorio sincitial | 20,3% |
| Bocavirus | 11,9% |
| Virus parainfluenza | 7,7% |
| Metaneumovirus | 5,5% |
| Adenovirus | 5,3% |
| Rinovirus | 4,1% |
| Mycoplasma pneumoniae | 3,8% |
| Virus influenza A y B | 2,4% |
| Dos microorganismos | 15,8% |
| Tres o más microorganismos | 1,7% |
| SIADH: síndrome de secreción inadecuada de hormona antidiurética. | |

Por lo tanto, con los datos aportados, se podría realizar el diagnóstico de presunción de SIADH incompleto secundario a neumonía por M. pneumoniae en nuestra paciente.
Actualmente, se sugiere que el SIADH podría estar causado por la propia inflamación en pacientes con infecciones de las vías respiratorias. Investigaciones recientes han revelado que citocinas inflamatorias como la interleucina IL−1β y la IL-6 intervienen en el desarrollo de la hiponatremia asociada a enfermedades inflamatorias y podrían estar relacionadas con la secreción de ADH. Los niveles séricos de sodio se asociaban inversamente con el grado de inflamación (leucocitos y PCR) en niños con diversas infecciones de las vías respiratorias10.
El SIADH es un trastorno frecuente asociado a infecciones del tracto respiratorio en Pediatría, la mayoría de las veces leve y de corta duración. Entre las manifestaciones extrapulmonares del M. pneumoniae no está dentro de las más frecuentes, pero es una complicación que debemos tener en mente, ya que estos pacientes asocian mayor probabilidad de ingreso y una evolución más tórpida.
En definitiva, el SIADH en el contexto de la neumonía podría predecir una mayor probabilidad de infección grave y de necesidad de soporte hospitalario, por lo que sería recomendable considerar posibles alteraciones hidroeléctricas en el manejo de este tipo de pacientes.
Los autores declaran no presentar conflictos de intereses en relación con la preparación y publicación de este artículo.
Contribución de los autores: búsqueda bibliográfica y redacción manuscrito (SGB, CMJ), redacción manuscrito y enlace con el caso clínico (MCC), búsqueda bibliográfica (VFO, MMM).
Los autores han remitido un formulario de consentimiento de los padres/tutores para publicar información de su hijo/a.
PCR: proteína C reactiva · PCT: procalcitonina · SIADH: síndrome de secreción inadecuada de hormona antidiurética · UCI: unidad de cuidados intensivos.