Vol. 27 - Num. 106
Notas clínicas
Virginia Baeza Monederoa, Elena Pérez Fuertesa, Raquel Vigara Calderóna, Alba González Guerreroa
aPediatra. CS Villablanca. Madrid. España.
Correspondencia: E Pérez. Correo electrónico: elenaperezfuertes@gmail.com
Cómo citar este artículo: Baeza Monedero V, Pérez Fuertes E, Vigara Calderón R, González Guerrero A. Lo que las sibilancias esconden . Rev Pediatr Aten Primaria. 2025;27:161-4. https://doi.org/10.60147/45e0e538
Publicado en Internet: 02-06-2025 - Número de visitas: 5949
Resumen
El cuadro clínico de tos y sibilancias es uno de los motivos más frecuentes de consulta en Pediatría y puede englobar un amplio diagnóstico diferencial aparte del asma. Se expone el caso poco frecuente de una lesión endobronquial causada por micobacterias atípicas.
Palabras clave
● Lesión endobronquial ● Micobacteria ● SibilanciasLas lesiones obstructivas endobronquiales pueden cursar con tos persistente, sibilancias y neumonías recurrentes; por dicho motivo pueden pasar desapercibidas inicialmente y ser encuadradas dentro de un cuadro de asma1. La falta de respuesta al tratamiento habitual debe hacer que nos planteemos el diagnóstico diferencial con otros cuadros clínicos menos frecuentes.
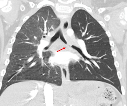
Niña de 2 años valorada en consulta por tos seca nocturna y escucha de sibilancias de una semana de evolución, sin fiebre asociada. Diagnóstico inicial de broncoespasmo en medio hospitalario, tratado con broncodilatadores inhalados. Ante la falta de mejoría se revisa en el centro de salud y se aprecia en la auscultación asimetría con hipoventilación del campo pulmonar izquierdo, por lo que se deriva a urgencias, donde la radiografía se informa como: “asimetría entre ambos campos pulmonares con aumento de la radiolucencia y del volumen del pulmón izquierdo compatible con atrapamiento aéreo” (Figura 1). Ante la sospecha de cuerpo extraño bronquial, se programa un TAC, que informa la presencia de una lesión endobronquial dependiente de la pared posterior del tercio medio del bronquio principal izquierdo (Figura 2). El TAC describe una lesión redondeada y de aspecto polipoide con obstrucción prácticamente completa de la luz bronquial. Se realiza broncoscopia con toma de biopsias y resultado anatomopatológico compatible con granuloma, por lo que se programa exéresis de la lesión vía endoscópica. El estudio anatomopatológico confirma inflamación crónica granulomatosa necrotizante. Baciloscopia y cultivo de micobacterias de lavado broncoalveolar: Mycobacterium avium. Ante este resultado, se inició un tratamiento combinado con rifampicina, etambutol y azitromicina, sin toxicidad y con buena adherencia. A nivel clínico, tras la resección hay una mejoría clínica respiratoria sin complicaciones hasta los cinco meses, cuando, por la objetivación de cianosis de esfuerzo por los padres, se solicita radiografía en la que se aprecia un inicio de consolidación en lóbulo inferior izquierdo, prescribiendo tratamiento antibiótico con amoxicilina-clavulánico. Se programaron broncoscopia y TAC que descartaron recidiva. Se recogieron muestras para un cultivo convencional y micobacterias, siendo negativas. Se solicitó a su vez panel de virus respiratorios, con resultado positivo en rhinovirus y enterovirus.
Actualmente continúa en seguimiento, sin alteraciones reseñables en el estudio de la valoración inmunitaria y está pendiente del resultado del estudio genético para descartar susceptibilidad mendeliana a enfermedad micobacteriana (MSMD). Clínicamente, la paciente se encuentra asintomática.
La causa más frecuente de tos y sibilancias en Pediatría son las exacerbaciones asmáticas, suponiendo estas entre el 5-15% de las consultas según la época epidémica2. Estos síntomas y signos clínicos no son patognomónicos de asma, ya que cualquier estenosis en la vía aérea puede generar turbulencias en la entrada de aire y, por lo tanto, sibilancias3,4. Por ello, y para evitar el sobrediagnóstico erróneo de asma, no hay que olvidar otras entidades (Tabla 1).
| Tabla 1. Diagnóstico diferencial de asma3 | |
|---|---|
| Condición | Síntomas |
| Cuerpo extraño endobronquial | Antecedente de sofocación. Más frecuente en <2 años. Asimetría en la auscultación |
| Malformaciones anatómicas que afectan la vía aérea: anillos vasculares | Síntomas desde el nacimiento |
| Neumopatías crónicas: fibrosis quística | Infecciones respiratorias recurrentes, fallo de medro |
| Tuberculosis | Tos crónica, contacto con adulto bacilífero |
| Tumores | Benignos: hamartomas, pseudotumor inflamatorio Malignos: primarios (tumor carcinoide bronquial) y metastásicos |

Los tumores primarios pulmonares son muy infrecuentes en la edad pediátrica1,5. Respecto a los benignos, los más frecuentes son los hamartomas y los pseudotumores inflamatorios. Dentro de estos últimos están los granulomas endobronquiales, pudiendo ser causados por micobacterias4.
Los términos micobacterias no tuberculosas o atípicas hacen alusión a las especies del género Mycobacterium, distintas de Mycobacterium tuberculosis y leprae. En las últimas dos décadas se ha producido un aumento en el número de aislamientos de micobacterias no tuberculosas en nuestro medio6,7, debido también a la mejora en los métodos diagnósticos.
Las micobacterias no tuberculosas están distribuidas en el ambiente y pueden aislarse en el agua natural y de suministro, tierra, polvo, animales (especialmente aves…). Las especies más frecuentes son Mycobacterium gordonae, Mycobacterium xenopi y Mycobacterium avium complex. La infección ocurre tras la inhalación, inoculación o ingestión de material contaminado6, pero no se ha demostrado la transmisión de persona a persona, por lo que el foco de contagio de nuestra paciente no es conocido.
Las manifestaciones clínicas de la infección pediátrica por micobacterias no tuberculosas son muy variadas, siendo la linfadenitis de las cadenas cervicales anteriores la más frecuente4. Sin embargo, la infección pulmonar por micobacterias no tuberculosas en el niño inmunocompetente es muy infrecuente. El tratamiento médico inicial debe ser combinado, asociando un macrólido, etambutol y rifabutina. Pero algunas circunstancias como la de nuestra paciente, donde existía una lesión endobronquial con importante obstrucción, requieren intervención quirúrgica4. El seguimiento clínico estrecho de manera multidisplinar es fundamental para diagnosticar de precozmente posibles reacciones adversas medicamentosas (etambutol-neuritis óptica) o recaídas en la enfermedad.
La susceptibilidad mendeliana a la enfermedad por micobacterias se debe a defectos innatos en la inmunidad mediada por INF-γ8. Su conocimiento puede resultar útil no solo para saber la predisposición de los individuos portadores de dichas mutaciones a este tipo de infecciones, sino también para aportar una posible línea más de tratamiento con INF-γ a los antimicrobianos.
El objetivo de este caso clínico, con diagnóstico poco habitual, es recordar que el pediatra de Atención Primaria debe conocer otros procesos que pueden cursar con clínica respiratoria obstructiva y sospecharlos en el caso de que la presentación y/o evolución no sean las habituales (“no todo lo que sibila es asma”). Las micobacterias atípicas están presentes en el medio y debemos también tener en mente su presencia ante determinadas presentaciones clínicas, así como estar familiarizados con su tratamiento.
Los autores declaran no presentar conflictos de intereses en relación con la preparación y publicación de este artículo.
Todos los autores han contribuido de forma equivalente en la elaboración del manuscrito publicado.
Los autores han remitido un formulario de consentimiento de los padres/tutores para publicar información de su hijo/a.
MSMD: susceptibilidad mendeliana a enfermedad micobacteriana.