Vol. 27 - Num. 34
Casos clínicos. Miscelánea
Verónica Gómez Hernandoa, María Mestre de Juanb, Olga del Carmen Carmona Abellánb
aCS Los Alperchines. San Fernando de Henares. Madrid. España.
bHospital Universitario Niño Jesús. Madrid. España.
Cómo citar este artículo: Gómez Hernando V, Mestre de Juan M, Carmona Abellán OC. Lesión sugerente de ganglio. Uso de la ecografía . Rev Pediatr Aten Primaria. Supl. 2025;(34):e157-e158..
Publicado en Internet: 26-05-2025 - Número de visitas: 2915
La detección de nódulos en los tejidos blandos es un motivo de consulta frecuente en Pediatría. La ecografía puede ser muy útil para su diagnóstico, ya que permite valorar la ecoestructura, la vascularización y el compromiso de estructuras vecinas.
Varón de 30 meses, sin antecedentes de interés. Consultan por lesión retroauricular derecha, indolora, apreciada por los padres hace unos meses. Refieren crecimiento progresivo. En la exploración, se observa un nódulo subcutáneo de 1 x 1 cm, de consistencia gomosa y parcialmente móvil, sin cambios en la piel suprayacente. Impresiona de adenopatía.
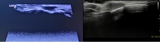
Ecografía en el centro de centro de salud: nódulo de 1 x 1 cm en región retroauricular derecha, hipoecoico y homogéneo; desplaza la cortical del hueso por efecto masa, con dudas de si llega a romperla (Figura 1A). Impresiona de quiste dermoide. Dada la posibilidad de extensión intracraneal, se deriva para completar el estudio.
Visto por Cirugía. Solicitan nueva ecografía al Servicio de Radiología informada como imagen ovalada, de bordes bien definidos, hipoecogénica y homogénea, sin flujo en el estudio Doppler, que mide aproximadamente 10 mm en su eje máximo. Asocia una discreta remodelación del hueso subyacente. Estos hallazgos son compatibles con quiste dermoide como primera posibilidad (Figura 1B).
| Figura 1A (izda.). Ecografía en el centro de centro de salud. Figura 1B (dcha.). Ecografía en el Servicio de Radiología del hospital de referencia. |
|---|
![]() |

Se programa para cirugía de extirpación, que se realiza sin incidencias. La histología confirma el diagnóstico definitivo de quiste dermoide.
Los quistes dermoides son tumores benignos congénitos producidos por secuestro del tejido ectodérmico en los planos de fusión embrionarios. En el cráneo, tienen una incidencia del 0,1-0,5%, siendo la localización más frecuente la región supraorbitaria, la línea media y la fontanela anterior. Pueden crecer, romperse o extenderse a las estructuras adyacentes, erosionando el hueso craneal, con posibilidad de extensión epidural.
Ante tumores de partes blandas, la ecografía se presenta como primera prueba diagnóstica. Es una técnica que aumenta la capacidad resolutiva en las consultas de Atención Primaria, ayudando en el diagnóstico y en la toma de decisiones. Ante una lesión como la de este caso, la primera posibilidad diagnóstica, por la localización y el tipo de lesión, hubiera sido la de una adenopatía retroauricular. También hubiera podido tratarse de un lipoma, de un pilomatrixoma, de un granuloma de cuerpo extraño o de un quiste de inclusión epidérmica. La ecografía permitió valorar bien la lesión y su compromiso con estructuras vecinas, lo que puso sobre alerta para derivar a consulta hospitalaria.
Los autores declaran no presentar conflictos de intereses en relación con la preparación y publicación de este artículo.
Los autores han remitido un formulario de consentimiento de los padres/tutores para publicar información de su hijo/a.