Vol. 27 - Num. 34

Casos clínicos. Enfermedades infecciosas

Espondilodiscitis en Pediatría: un desafío diagnóstico

Raquel Jiménez Carrascosoa, M.ª Teresa Garde Moralesb, Irene Ortiz Valentína

aHospital Universitario de Toledo. Toledo. España.
bCS Santa María de Benquerencia. Toledo. España.

Cómo citar este artículo: Jiménez Carrascoso R, Garde Morales MT, Ortiz Valentín I. Espondilodiscitis en Pediatría: un desafío diagnóstico . Rev Pediatr Aten Primaria. Supl. 2025;(34):e80-e81.

Publicado en Internet: 26-05-2025 - Número de visitas: 3067

INTRODUCCIÓN

La espondilodiscitis es una inflamación del disco vertebral infrecuente en Pediatría, pero grave, que produce disminución del espacio discal. La inespecificidad de síntomas y resultados de laboratorio produce retraso en el diagnóstico y tratamiento, aumentando el riesgo de complicaciones (abscesos epidurales, paravertebrales o del psoas) y secuelas (fibrosis discal o fusión vertebral). La resonancia magnética (RMN) es la prueba diagnóstica de elección. El tratamiento generalmente incluye antibiótico intravenoso y tratamiento quirúrgico si existen complicaciones neurológicas o abscesos que requieran drenaje.

RESUMEN DEL CASO

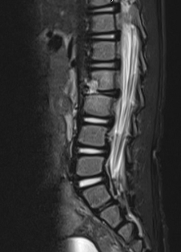
Lactante de 17 meses, previamente sano, que acude a urgencias por rechazo a apoyar el pie derecho, sin puntos dolorosos ni tumefacción y movilidad articular conservada. Analítica con leucocitosis (17 000/mm3) sin aumento de reactantes de fase aguda (RFA); radiografía de pelvis y ecografía de caderas normales. Cuadro catarral febril y otitis media aguda dos semanas antes, tratada con amoxicilina una semana, iniciándose la cojera tras finalizar tratamiento. 48 horas después es reevaluado por su pediatra con exploración normal. Pasadas dos semanas, acude de nuevo a su pediatra por estreñimiento, decaimiento e irritabilidad, asociando rechazo a la sedestación. En la exploración física, tendencia al arqueamiento de espalda con rechazo a la bipedestación y abdomen distendido. Se deriva a urgencias, donde se realiza ecografía abdominal sin hallazgos y se administra enema (no efectivo), dándose de alta con macrogol. Diez días más tarde acude a su pediatra por fiebre de hasta 40 °C, cuadro catarral leve y persistencia de decaimiento, rechazo a la deambulación y cojera derecha intermitente. En la exploración, irritable y postrado, rechazo a la deambulación y sedestación con hiperextensión de columna, abdomen distendido y doloroso, no hay puntos dolorosos a la espinopresión. Es derivado de nuevo a urgencias, donde, ante sospecha de infección osteoarticular, se realiza analítica con VSG elevada y RMN urgente para descartar afectación medular, observándose espondilodiscitis L2-L3 con absceso prevertebral y en psoas derecho (Figura 1). Ante estos hallazgos, se comenta con Neurocirugía y Cirugía Pediátrica, y se decide iniciar tratamiento conservador con antibioterapia intravenosa con cefotaxima y clindamicina durante 20 días, con mejoría clínica y radiológica progresiva.

Figura 1. Espondilodiscitis L2-L3 con absceso prevertebral y en psoas derecho
Figura 1. Espondilodiscitis L2-L3 con absceso prevertebral y en psoas derecho
 

CONCLUSIONES

La espondilodiscitis es una infección infrecuente en niños, pero potencialmente grave. Cursa con sintomatología típica, pero inespecífica. Por ello, es importante conocer esta entidad y considerarla en el diagnóstico diferencial de alteraciones agudas en la deambulación para evitar demoras en el diagnóstico, basado en un alto índice de sospecha clínica y en pruebas de imagen, y en el inicio del tratamiento para reducir complicaciones y secuelas.

CONFLICTO DE INTERESES

Los autores declaran no presentar conflictos de intereses en relación con la preparación y publicación de este artículo.

RESPONSABILIDAD DE LOS AUTORES

Los autores han remitido un formulario de consentimiento de los padres/tutores para publicar información de su hijo/a.

ABREVIATURAS

RMN: resonancia magnética · RFA: reactantes de fase aguda.