Vol. 27 - Num. 34

Casos clínicos. Dermatología

¿Qué sabemos de los quistes epidermoides?

Laura M.ª Barchino Muñoza, Lucía Samperiz Sinovasb, Inmaculada Sinovas Gonzáleza

aCS Valdepeñas II. Valdepeñas. Ciudad Real. España.
bHospital General Universitario Santa Lucía. Cartagena. Murcia. España.

Cómo citar este artículo: Barchino Muñoz LM, Samperiz Sinovas L, Sinovas González I. ¿Qué sabemos de los quistes epidermoides? . Rev Pediatr Aten Primaria. Supl. 2025;(34):e19-e20.

Publicado en Internet: 26-05-2025 - Número de visitas: 4118

INTRODUCCIÓN

Los quistes epidermoides son lesiones cutáneas benignas que aparecen como resultado de un crecimiento anormal de las células epidérmicas. Se localizan de forma más frecuente en la cara, el cuello y el tronco, aunque pueden aparecer en cualquier parte del cuerpo.

Se caracterizan por ser de tamaño pequeño (menos de 2-3 cm), de forma lisa y redondeada y de consistencia blanda, elástica o pastosa. La piel circundante suele estar intacta.

La mayoría de ellos suelen ser asintomáticos, aunque en algunas ocasiones pueden sobreinfectarse presentando signos inflamatorios en la piel circundante.

Se puede sospechar por la evaluación clínica, complementando el diagnóstico con pruebas de imagen como la ecografía de partes blandas.

El tratamiento definitivo es la extirpación quirúrgica. Aunque se puede llevar a cabo un manejo conservador con observación si el quiste es asintomático, no crece de forma llamativa y no se encuentra en una localización que pueda tener riesgo de complicación.

La extirpación quirúrgica es el tratamiento más efectivo y definitivo, especialmente si el quiste está infectado o crece de forma significativa.

RESUMEN DEL CASO

Lactante mujer de 1,5 meses. Los padres refieren que le han notado un bulto subcentimétrico en región supraciliar izquierda. Dicen que lo presenta desde el nacimiento.

Exploración física: se palpa nódulo subcentimétrico de consistencia gomosa, móvil, no adherido a planos profundos, sin alteraciones a nivel de la piel circundante. Sin otros hallazgos.

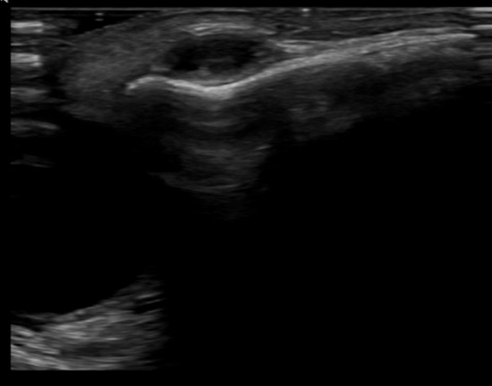
Se realiza ecografía de partes blandas en la que se objetiva lesión quística de 8 x 9 mm de tamaño.

Se contacta con Dermatología indicando seguimiento y control con ecografía si aumento de tamaño u otras incidencias.

La paciente persiste asintomática, pero en torno a los 22 meses de edad, impresiona de aumento de tamaño, por lo que se solicita ecografía de control, en la que se objetiva la persistencia de la lesión quística con similares características, pero con aumento de tamaño a 13 x 10 mm (Figura 1).

Figura 1. Ecografía
Figura 1. Ecografía
 

Se realiza derivación de la paciente a Dermatología para valorar si es preciso exéresis de la lesión.

CONCLUSIONES

  • Los quistes epidermoides son lesiones cutáneas benignas que pueden ser manejadas desde Atención Primaria con un manejo conservador.
  • Es importante un manejo y seguimiento adecuado para evitar complicaciones.
  • En principio, solo sería precisa la derivación a Cirugía o Dermatología para valorar su exéresis en aquellas lesiones en las que tengamos duda de su diagnóstico, hayan presentado infección o tengan un aumento progresivo de su tamaño.

CONFLICTO DE INTERESES

Los autores declaran no presentar conflictos de intereses en relación con la preparación y publicación de este artículo.

RESPONSABILIDAD DE LOS AUTORES

Los autores han remitido un formulario de consentimiento de los padres/tutores para publicar información de su hijo/a.