Vol. 27 - Num. 106

Notas clínicas

Hipoplasia rotuliana y afectación ungueal: ¿podemos relacionarlas?

Carmen García Dantasa, M.ª Teresa Follarat Molinaa, Natalia Cascado Garcíab, Cristina Nogueira Cobasb

aMIR-Pediatría. Hospital Universitario Costa del Sol. Marbella. Málaga. España.
bServicio de Pediatría. Hospital Universitario Costa del Sol. Marbella. Málaga. España.

Correspondencia: C García. Correo electrónico: carmengarciadantas@gmail.com

Cómo citar este artículo: García Dantas C, Follarat Molina MT, Cascado García N, Nogueira Cobas C. Hipoplasia rotuliana y afectación ungueal: ¿podemos relacionarlas? . Rev Pediatr Aten Primaria. 2025;27:e1-e4. https://doi.org/10.60147/8efe4ff0

Publicado en Internet: 28-05-2025 - Número de visitas: 5135

Resumen

Presentamos el caso de un paciente de 10 años que es derivado por su pediatra de Atención Primaria tras haber objetivado radiográficamente una hipoplasia rotuliana severa bilateral. A la exploración destaca, además, hiperlaxitud generalizada y distrofia ungueal leve. Se realizan pruebas complementarias, entre ellas un estudio genético, que nos conducen al diagnóstico final.

Palabras clave

Distrofia ungueal Estudio genético Hipoplasia rotuliana

CASO CLÍNICO

Presentamos el caso de un niño de 10 años de edad derivado por su pediatra a la consulta de Reumatología para valoración y estudio tras el hallazgo en una prueba de imagen de hipoplasia rotuliana severa bilateral. Como antecedente de interés destaca que se encontraba en tratamiento con metilfenidato por trastorno de déficit de atención e hiperactividad (TDAH) y valoración hace unos años por Otorrinolaringología por sospecha de déficit auditivo, resultando el estudio normal. Debido a la sospecha de un trastorno del neurodesarrollo a una edad temprana, se descarta el síndrome de X frágil y se realiza cariotipo (46XY).

A la exploración física, se objetiva hiperlaxitud generalizada, no se palpan rótulas (porta rodilleras por inestabilidad rotuliana), pectum excavatum, escápulas prominentes, falanges cortas con descamación y uñas de primer dedo de ambas manos aplanadas con distrofia ungueal leve. El resto de la exploración por órganos y aparatos es normal.

Ante la sospecha diagnóstica, se indagan los antecedentes familiares de nuestro paciente, destacando padre con defecto refractivo severo de un ojo, sin saber precisar la causa.

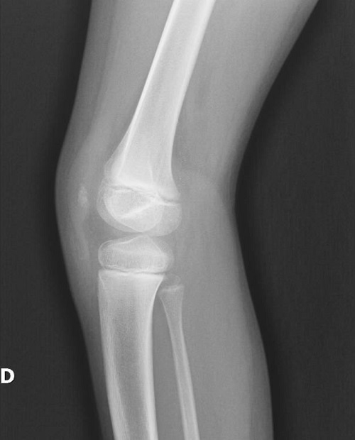
Posteriormente, se decide ampliar el estudio, realizándose radiografía de ambas rodillas, codos y caderas. En los resultados radiográficos se evidencia hipoplasia de ambas rótulas conocida sin luxación (Figuras 1 y 2). Se completa el estudio con resonancia magnética craneal sin hallazgos, y análisis de sangre y de orina para estudio de la función renal sin presentar alteraciones. Finalmente, se realiza estudio genético mediante secuenciación masiva NGS del gen LMX1B, encontrándose variante de significado incierto en LMX1B c.213C>G en heterocigosis. Posteriormente, se realiza un estudio genético en los progenitores, resultando negativo, concluyéndose que la variante es de novo.

Figura 1. Radiografía lateral de la rodilla derecha
Figura 1. Radiografía lateral de la rodilla derecha
 
Figura 2. Radiografía lateral de la rodilla izquierda
Figura 2. Radiografía lateral de la rodilla izquierda
 

Tras la realización de las pruebas complementarias y tras recibir el resultado del estudio genético, llegamos al diagnóstico definitivo del síndrome de uña-rótula (SUR). Teniendo en cuenta las posibles complicaciones que puede asociar dicho síndrome, se realiza interconsulta con Oftalmología y Otorrinolaringología, además de continuar seguimiento por parte de Traumatología.

DISCUSIÓN

El SUR o enfermedad de Fong es un trastorno autosómico dominante y está producido por variantes en heterocigosis de pérdida de función en el gen LMX1B1. La función de este gen es codificar a un factor de transcripción que interviene en la dorsalización de las extremidades, la integridad de la membrana basal glomerular y el desarrollo de neuronas dopaminérgicas y serotoninérgicas. Es un trastorno infrecuente que afecta a 1/50 000 individuos2. En cuanto a la transmisión hereditaria, se conoce que el 88% de los pacientes con SUR tienen un progenitor afectado y el 12% de tienen una variante patogénica de novo3. En nuestro paciente se encontró una variante en LMX1B c.213C>G en heterocigosis, clasificada como de significado incierto.

La mayoría de los pacientes con SUR presentan anomalías ungueales, siendo los cambios distróficos la manifestación más común. Las uñas de los pulgares suelen ser las más afectadas. Aproximadamente el 70% de los pacientes tienen afectación esquelética a nivel de la cintura pélvica y extremidades, destacando las rótulas y los codos2. Entre los hallazgos más característicos se encuentran rótulas hipoplásicas, luxación de la cabeza radial y cuernos iliacos. La subluxación o luxación rotuliana provoca inestabilidad y gonalgia que empeora el curso de la enfermedad1.

La afectación renal es variable en los pacientes con SUR. Inicialmente se presenta como proteinuria en el 30-50% de los individuos. En torno a un 15% de los pacientes afectados desarrollará insuficiencia renal terminal, siendo Esta la que guarda más relación con la mortalidad de esta entidad2. Aunque menos frecuente, puede existir pérdida auditiva neurosensorial en algunos pacientes4. En cuanto a las complicaciones oftalmológicas que podemos encontrarnos, el glaucoma primario de ángulo abierto y la hipertensión ocular son las complicaciones más graves asociadas a este síndrome, manifestándose a una edad más temprana que en la población general. Otros signos observados en los pacientes con SUR son los trastornos del estado del ánimo, línea de nacimiento del cabello alta o enfermedad de Raynaud1-3.

Para llegar al diagnóstico de este síndrome, necesitamos identificar hallazgos sugestivos y/o una variante patogénica heterocigota en el gen LMX1B identificada con pruebas genéticas moleculares3. Merece la pena mencionar que debido a la osificación incompleta de la rótula en neonatos resulta difícil llegar al diagnóstico de hipoplasia rotuliana en niños menores de 3 años, siendo útil la ecografía o resonancia en casos dudosos. Las radiografías de pelvis y caderas suelen mostrar cuernos ilíacos, presentes en el 80% de los casos, un hallazgo patognomónico que también puede detectarse con la ecografía prenatal5.

Además del asesoramiento genético, que es fundamental, no disponemos a día de hoy de ninguna medida para prevenir el diagnóstico, ni disponemos de tratamiento curativo para dicha entidad. El reconocimiento precoz de estos pacientes, atendiendo a los signos y síntomas que acompañan este síndrome y que están presentes en la infancia, permite un diagnóstico precoz y facilita un manejo adecuado2.

En cuanto al tratamiento, la implementación de medidas proactivas para reducir las subluxaciones o luxaciones recurrentes, como la fisioterapia o las ortesis, tienen el objetivo de preservar la integridad de la rótula, disminuyendo así la necesidad de intervención quirúrgica2,6. En relación al tratamiento de la afectación renal, en el caso de aparecer proteinuria se podrían utilizar fármacos, como los inhibidores de la enzima convertidora de angiotensina (IECA), así como un tratamiento dirigido en función de las complicaciones presentadas3.

CONCLUSIONES

Se recomienda hacer seguimiento por especialistas y controles periódicos que dependerán de la afectación individual de cada paciente. En el caso de nuestro paciente, se encuentra estable con seguimiento por parte de Traumatología, Oftalmología, Nefrología y Otorrinolaringología, sin haber objetivado complicaciones por el momento en su evolución.

CONFLICTO DE INTERESES

Los autores declaran no presentar conflictos de intereses en relación con la preparación y publicación de este artículo.

RESPONSABILIDAD DE LOS AUTORES

Contribución de los autores: búsqueda bibliográfica, recopilación y análisis de la información clínica del paciente, redacción del manuscrito (CGD y MTFM), supervisión del proceso de investigación y redacción, revisión final del manuscrito (NCG y CNC).

Los autores han remitido un formulario de consentimiento de los padres/tutores para publicar información de su hijo/a.

ABREVIATURAS

IECA: inhibidores de la enzima convertidora de angiotensina · SUR: síndrome de uña-rótula · TDAH: trastorno por déficit de atención e hiperactividad.

BIBLIOGRAFÍA

  1. Gecheva NA, Angelov V, Kaneva R, Dikova M. Multidisciplinary approach in diagnosis and treatment of Fong disease. J Surg Case Rep. 2024;2024(4):rjae207. https://doi.org/10.1093/jscr/rjae207
  2. Dzhugarian S, Hamamah S, Frugoli A, Shepard A. 'Knee-Ding' a Diagnosis: A Case of Nail Patella Syndrome. Cureus. 2023;15(11):e48805. https://doi.org/10.7759/cureus.48805
  3. Sweeney E, Hoover-Fong JE, McIntosh I, Adam MP, Feldman J, Mirzaa GM, et al. Nail-patella síndrome. En: GeneReviews(®). Seattle: University of Washington;2023 [en línea] [consultado el 21/05/2025]. Disponible en www.ncbi.nlm.nih.gov/books/NBK1132/
  4. ¿Qué es el síndrome uña-rótula? En: AESUR. Asociación Española Síndrome Uña Rótula [en línea] [consultado el 25/05/2025]. Disponible en https://sites.google.com/view/aesursindromeunarotula/síndrome-uña-rótula-s-u-r/qué-es?authuser=0
  5. Sasidharan R, Gupta N, Toteja N, Yadav B. Diagnosing nail-patella syndrome: can it be so simple? BMJ case reports. 2021;14(3):e241833. https://doi.org/10.1136/bcr-2021-241833
  6. Lippacher S, Mueller-Rossberg E, Reichel H, Nelitz M. Correction of malformative patellar instability in patients with nail-patella syndrome: a case report and review of the literature. Orthop Traumatol Surg Res. 2013;99:749-54. https://doi.org/10.1016/j.otsr.2013.03.031